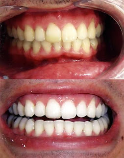
Com o passar dos anos, os nossos dentes vão escurecendo e cada vez mais ficamos com aquele sorriso amarelo. Um problema que tem solução. Com o clareamento dental o paciente pode "trocar" aquele sorriso amarelo recuperando a cor natural dos dentes.
O clareamento dental para dentes está indicado para pacientes que tenham:
• Dentes manchados por uso de tetraciclina e seus derivados
• Dentes escurecidos pela idade
• Dentes com calcificação pulpar causada por traumatismo
• Dentes acometidos por fluorose e que tenham manchas amarronzadas
• Dentes com indicação de faceta
O clareamento dental está contra-indicado para pacientes:
• Com dentes hipersensíveis ou hipoplasia de esmalte
• Crianças com menos de 10 anos de idade
• Alérgicos a algum componente da fórmula do agente clareador
• Grávidas ou que estejam amamentando.
• Incapazes de seguir as instruções corretamente.
O verdadeiro agente clareador é o peróxido de hidrogênio.
Mesmo ao usar o peróxido de carbamida, o agente ativo é o peróxido de hidrogênio.
Os peróxidos são soluções que penetram e se movem através do esmalte e da dentina devido ao seu baixo peso molecular.
A possível sensibilidade que ocorre nos dentes em clareamento dental se explica pela grande movimentação desses peróxidos através do esmalte e da dentina e não devido ao pH do produto utilizado.
Como funciona o clareamento dental ?
As moléculas dos géis oxidantes (liberadores de oxigênio) penetram na intimidade do esmalte e da dentina, liberando oxigênio que, por sua vez, "quebra" as moléculas dos pigmentos causadores das manchas.
Como posso clarear meus dentes ?
Os dentes podem ser clareados (clareamento dental) através de géis ou pastas oxidantes (liberadores de oxigênio) de duas maneiras:
1 . Clareamento dental no consultório: o dentista isola os dentes (com um lençol de borracha) para proteger a gengiva, ou aplica um produto de mesma função chamado de barreira gengival, e aplica um agente oxidante forte.
2. Clareamento dental em casa (doméstico): o paciente, sob a orientação do dentista, leva um gel oxidante fraco, para usar diariamente em casa. 0 clareamento doméstico é mais seguro, pode resolver todos os casos e tem sido bastante utilizado.
Posso fazer clareamento dental em casa sem a ajuda de um profissional?
Não se recomenda clarear os dentes sem orientação profissional, pois o paciente, sozinho, não seria capaz de reverter os efeitos colarerais passíveis de acontecerem como a sensibilidade dentária.
Os produtos usados no clareamento são seguros à saúde geral?
Sim. Como outros produtos e medicamentos médicos e odontológicos, quando usados corretamente conforme orientação, não promovem nenhum prejuízo à saúde geral.
A mídia divulgou que o clareamento doméstico poderia potencializar o aparecimento do câncer. É verdade?
Essa informação não tem fundamento. Tanto que a FDA (Food and Drug Administration) e a ADA (American Dental Association) aprovam o uso de peróxidos em cremes dentais, que são usados indiscriminadamente pela população. Essas entidades também não desaprovam o uso de clareadores dentais, desde que supervisionado por dentistas.
Eles provocam danos à gengiva?
Não, desde que o paciente faça tratamento supervisionado e não use produtos vendidos pela TV ou em supermercados. 0 dentista confecciona uma moldeira individualizada que cobrirá somente a superfície dental, evitando, assim, que o agente clareador tenha contato direto e contínuo com a gengiva. Qualquer lesão e sensibilidade devem ser imediatamente comunicadas ao dentista.
0 dente clareado fica enfraquecido?
Não. A estrutura dental não é afetada.
0 clareamento altera as restaurações já existentes ?
Não. O paciente talvez tenha de trocar ou retocar as restaurações antigas: uma vez que o agente clareador não age sobre a restauração, apenas na superfície dentária.
Durante o Clareamento o que devo e não devo fazer?
Deve fazer:
- Seguir as orientações do Dentista;
- Observar os dentes diariamento ao espelho, monitorando o processo de clareamento;
- Guardar o dispositivo para o caso de necessitar d emanutenção;
Não deve fazer:
- Fumar durante o tratamento;
- Evitar tomar café, chá, coca-cola, vinho tinto;
- Evitar comer chocolate, beterraba, e outros alimentos que contenham muito corante;
Quanto tempo dura o tratamento doméstico?
Dura de duas a três semanas, dependendo do grau de escurecimento e de quanto se precisa clarear.
O dente clareado pode escurecer novamente?
Sim. Após uma média de 2 anos pode haver necessidade de manutenção.
Caso Clínico:




Nenhum comentário:
Postar um comentário